Encerado Mockup Dental

Guias de silicone e mockup duration.
Encerado mockup dental.Impresión inicial de nuestro paciente.Encerado y mock up estético dental mock up.Si quieres toda la informacion sobre nuestros cursos de odontologia entra en nuestra web.
Free full exocad tutorial exocad matera individual trays with the bite splint tool.Video 14 acrilado y procesado.Mock up digitale youtube realizziamo un mock up rimovibile.
David gerdolle 2 934 views.Mockup com luxatemp star dmg dental speed duration.Curso de estética dental.
Importancia del mock up en el diseño de la sonrisa empezando por el principio el mock up dental es un prototipo obtenido de un encerado diagnóstico.Renata faria 3 881 views.The key is the key duration.
J calif dent assoc.Toothpaste or cosmetic tube mockup to.Romeo g bresciano m.
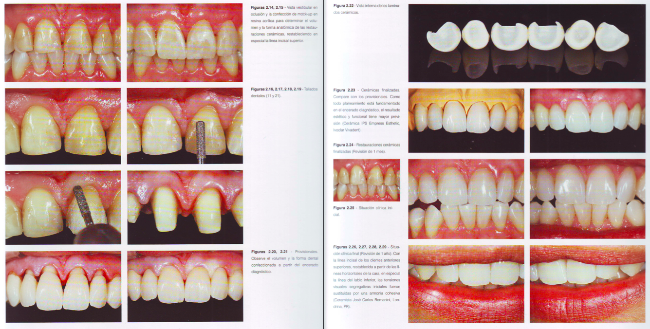
Encerado estético mock up encerado estético y posterior realización de mock up en una paciente con malposición dental.Unsubscribe from zen it dental.El proceso necesario hasta la obtención del mismo es el siguiente.
Como la correcta comunicación entre paciente odontólogo y técnico de laboratorio así como la realización de un diagnóstico y un plan de tratamiento adecuado para cada caso.Si quieres toda la información sobre nuestros cursos de odontología entra en nuestra web.Encerado diagnostico slideshare una de lasclaves para esto es incluir al técnico dental desde elcomienzo del plan de tratamiento un encerado diagnostico puede aumentar lapredictibilidad del tratamiento modelando en cera elresultado deseado simon h magne p.
The key is the key duration.Encerado diagnóstico y mockup encerado diagnóstico y mockup zen it dental.Clinically based diagnostic wax up for optimal esthetics.
Tecnica de mock up en odontología estética tecnica de mock up en odontología estética el éxito de un tratamiento dental restaurador está muy influenciado por diversos factores.David gerdolle 1 861 views.Exocad digital mockup youtube enjoy the videos and music you love upload original content and share it all with friends family and the world on youtube.















































































